Evidence of Expertise

The engineering behind the smile.

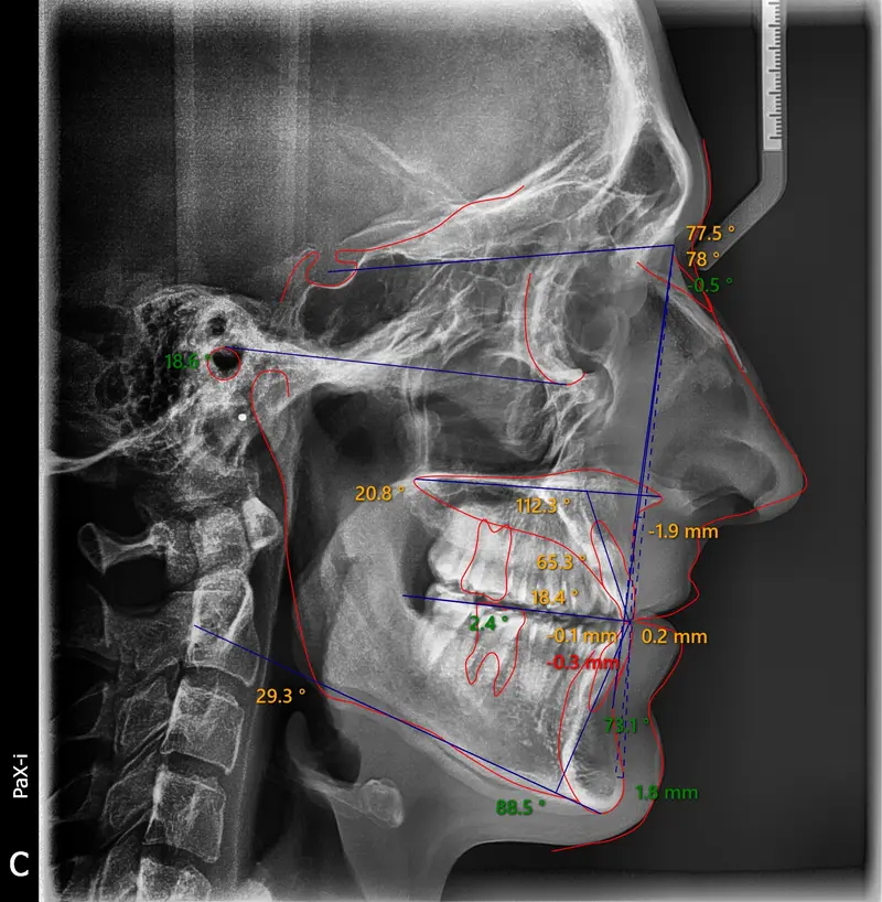
Every result below is the product of a specific architectural plan. Use the sliders to verify the change in alignment, bite function, and facial balance.

Skeletal Correction 22 Months

The Extraction Myth

The Diagnosis

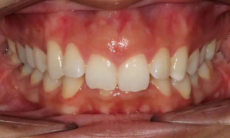
Bimaxillary protrusion (teeth flaring forward) causing lip incompetence. The patient struggled to close his lips comfortably, straining the chin muscle (mentalis).

The Engineering

A strategic extraction plan (4 premolars) allowed us to retract the front teeth. Note the dramatic improvement in chin projection and facial balance. The extractions did not flatten the face; they harmonized it.

Instrument: Intelligent Brackets
After treatment: The Extraction Myth
After
Before treatment: The Extraction Myth
Before
Phase 1 Early Intervention 12 Months

The Expansion Phase

The Diagnosis

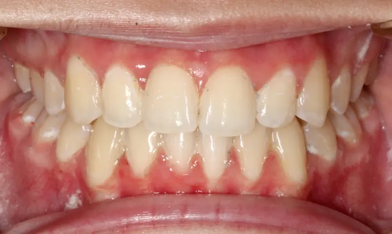
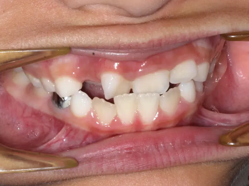
Severe crowding with blocked-out permanent teeth. The jaw size was insufficient to accommodate the erupting adult teeth, leading to significant rotation and displacement.

The Engineering

By intervening early, we utilized rapid palatal expansion to develop the arch width. This created the necessary space for the permanent teeth to erupt naturally, avoiding the need for future extractions.

Instrument: Growth Guidance
After treatment: The Expansion Phase
After
Before treatment: The Expansion Phase
Before
Invisalign Comprehensive 14 Months

Complex Bite Correction

The Diagnosis

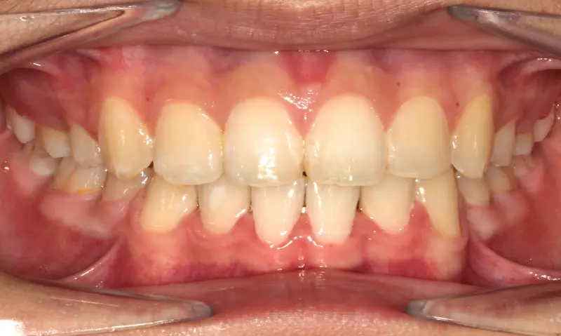
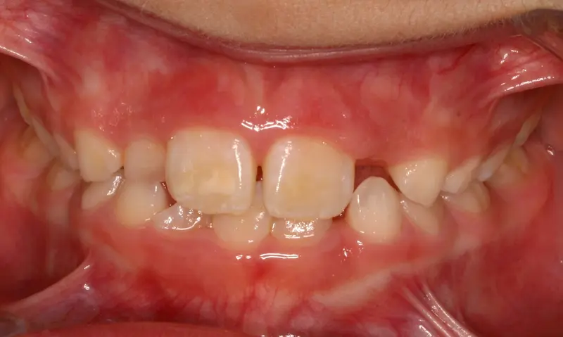
Anterior Open Bite with Class III tendency (Underbite). The front teeth did not touch, making chewing difficult and placing excessive force on the back teeth.

The Engineering

Using Invisalign with "SmartForce" attachments, we intruded the posterior teeth (molars) to close the bite at the front. We simultaneously corrected the underbite relationship using precision-cut elastics, achieving full function without surgery.

Instrument: Invisalign
After treatment: Complex Bite Correction
After
Before treatment: Complex Bite Correction
Before
TAD Biomechanics 24 Months

Vertical Control & Intrusion

The Diagnosis

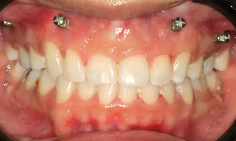
Deep bite with over-erupted upper central incisors. The patient presented with a "Gummy Smile" and uneven gingival margins, where the front teeth sat too low relative to the upper lip.

The Engineering

We utilized Temporary Anchorage Devices (TADs) to apply pure intrusive forces. By anchoring to the bone, we lifted the anterior teeth and gum line upwards (Intrusion) to reduce the gummy display and level the smile arc without jaw surgery.

Instrument: Intelligent Brackets + TADs
After treatment: Vertical Control & Intrusion
After
Before treatment: Vertical Control & Intrusion
Before
Crowding & Aesthetics 24 Months

The Non-Extraction Arc

The Diagnosis

Severe upper and lower crowding with a narrow maxilla. The smile appeared "hidden" due to the inward angle of the teeth.

The Engineering

We utilized a broad-arch wire sequence combined with passive self-ligating brackets to expand the smile width. By unraveling the crowding without removing teeth, we created a full, consonant smile arc that supports the facial soft tissue.

Instrument: Self-Ligating Brackets
After treatment: The Non-Extraction Arc
After
Before treatment: The Non-Extraction Arc
Before
Invisalign Comprehensive 24 Months

Crossbite & Smile Arc

The Diagnosis

Anterior crossbite with upper crowding. The upper front teeth were trapped behind the lower teeth, locking the bite and creating a flat, hidden smile curve.

The Engineering

We utilized Invisalign aligners to "jump" the crossbite, expanding the upper arch to release the trapped teeth. Simultaneously, we programmed vertical extrusion to enhance the "Smile Arc," positioning the upper teeth to follow the natural curvature of the lower lip.

Instrument: Invisalign
After treatment: Crossbite & Smile Arc
After
Before treatment: Crossbite & Smile Arc
Before
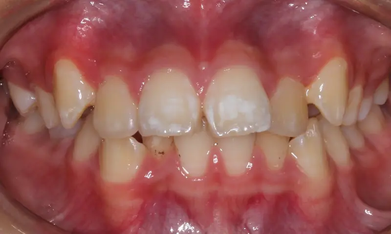
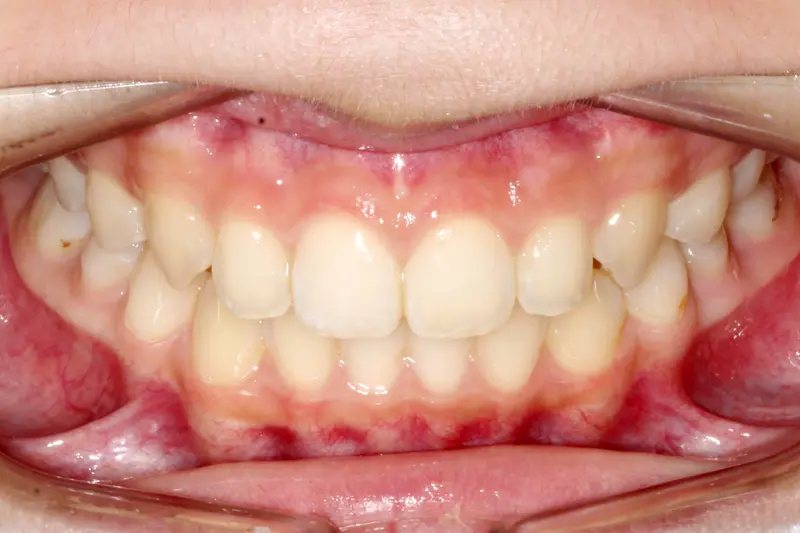
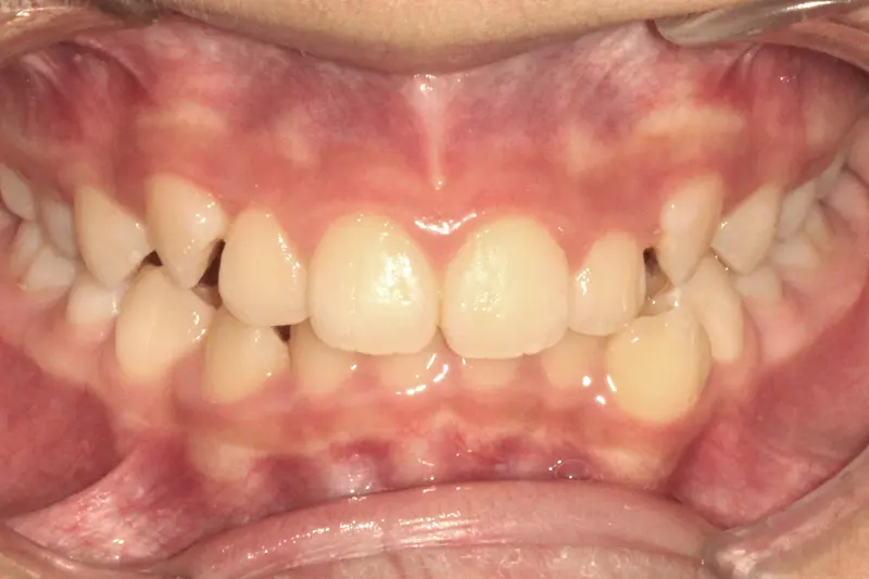
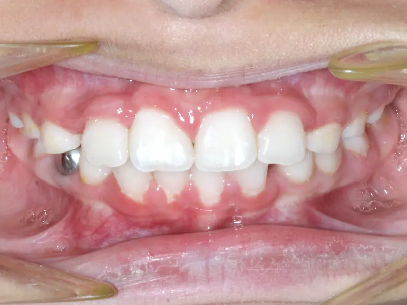
Phase 1 Early Intervention 10 Months

Unblocking Eruption Pathways

The Diagnosis

Severe maxillary constriction leading to blocked-out upper lateral incisors. The narrow dental arch lacked the necessary physical space for the incoming permanent teeth to erupt naturally.

The Engineering

Through targeted early intervention, we expanded the upper jaw to develop proper arch width. This crucial space creation unlocked the trapped lateral incisors, allowing them to safely enter the arch and establishing a broader, healthier foundation for the remaining adult teeth.

Instrument: Phase 1 Appliance Therapy
After treatment: Unblocking Eruption Pathways
After
Before treatment: Unblocking Eruption Pathways
Before

Your smile has potential.

You have seen the evidence. Now let's engineer a result specifically for you. No guesswork, just physics.

No referral needed • 0% Financing Available
Full Analysis
FULL_RESOLUTION_ANALYSIS